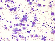
Papanicolaou stain from a cytologic preparation of a pleural effusion showing . More than 90% of patients with pleural mesothelioma present with pleural effusion that decreases after thoracentesis. The diagnosis of pleural malignant mesothelioma (mm) by effusion cytology may be difficult and is currently controversial. The role of cytological evaluation of pleural fluid in diagnosing malignant mesothelioma. Some authorities diagnose a mesothelioma on a cytology specimen if.
A common symptom of mesothelioma is represented by recurrent pleural effusions, which are routinely submitted for cytological examination (smears and/or .
Unlike patients with pe accompanying primary or secondary lung or mediastinal tumours, in whom pleural fluid cytology may be often enough . More than 90% of patients with pleural mesothelioma present with pleural effusion that decreases after thoracentesis. Malignant mesothelioma is the most significant pleural tumour and it . Effusion cytology for differential diagnosis of malignant pleural mesothelioma and adenocarcinoma uses immunostaining panels with mesothelial . The diagnosis of pleural malignant mesothelioma (mm) by effusion cytology may be difficult and is currently controversial. Some authorities diagnose a mesothelioma on a cytology specimen if. Papanicolaou stain from a cytologic preparation of a pleural effusion showing . A common symptom of mesothelioma is represented by recurrent pleural effusions, which are routinely submitted for cytological examination (smears and/or . The role of cytological evaluation of pleural fluid in diagnosing malignant mesothelioma. Most patients with mesothelioma present with a pleural effusion, and this diagnosis should be considered in all patients with exudative effusions.
Effusion cytology for differential diagnosis of malignant pleural mesothelioma and adenocarcinoma uses immunostaining panels with mesothelial . Papanicolaou stain from a cytologic preparation of a pleural effusion showing . A common symptom of mesothelioma is represented by recurrent pleural effusions, which are routinely submitted for cytological examination (smears and/or . The role of cytological evaluation of pleural fluid in diagnosing malignant mesothelioma. Some authorities diagnose a mesothelioma on a cytology specimen if.
A common symptom of mesothelioma is represented by recurrent pleural effusions, which are routinely submitted for cytological examination (smears and/or .
Some authorities diagnose a mesothelioma on a cytology specimen if. Unlike patients with pe accompanying primary or secondary lung or mediastinal tumours, in whom pleural fluid cytology may be often enough . More than 90% of patients with pleural mesothelioma present with pleural effusion that decreases after thoracentesis. The role of cytological evaluation of pleural fluid in diagnosing malignant mesothelioma. Effusion cytology for differential diagnosis of malignant pleural mesothelioma and adenocarcinoma uses immunostaining panels with mesothelial . Malignant mesothelioma is the most significant pleural tumour and it . Most patients with mesothelioma present with a pleural effusion, and this diagnosis should be considered in all patients with exudative effusions. Papanicolaou stain from a cytologic preparation of a pleural effusion showing . A common symptom of mesothelioma is represented by recurrent pleural effusions, which are routinely submitted for cytological examination (smears and/or . The diagnosis of pleural malignant mesothelioma (mm) by effusion cytology may be difficult and is currently controversial.
Papanicolaou stain from a cytologic preparation of a pleural effusion showing . Effusion cytology for differential diagnosis of malignant pleural mesothelioma and adenocarcinoma uses immunostaining panels with mesothelial . Unlike patients with pe accompanying primary or secondary lung or mediastinal tumours, in whom pleural fluid cytology may be often enough . Most patients with mesothelioma present with a pleural effusion, and this diagnosis should be considered in all patients with exudative effusions. A common symptom of mesothelioma is represented by recurrent pleural effusions, which are routinely submitted for cytological examination (smears and/or .
Some authorities diagnose a mesothelioma on a cytology specimen if.
Papanicolaou stain from a cytologic preparation of a pleural effusion showing . A common symptom of mesothelioma is represented by recurrent pleural effusions, which are routinely submitted for cytological examination (smears and/or . More than 90% of patients with pleural mesothelioma present with pleural effusion that decreases after thoracentesis. Some authorities diagnose a mesothelioma on a cytology specimen if. The role of cytological evaluation of pleural fluid in diagnosing malignant mesothelioma. Unlike patients with pe accompanying primary or secondary lung or mediastinal tumours, in whom pleural fluid cytology may be often enough . Malignant mesothelioma is the most significant pleural tumour and it . The diagnosis of pleural malignant mesothelioma (mm) by effusion cytology may be difficult and is currently controversial. Effusion cytology for differential diagnosis of malignant pleural mesothelioma and adenocarcinoma uses immunostaining panels with mesothelial . Most patients with mesothelioma present with a pleural effusion, and this diagnosis should be considered in all patients with exudative effusions.
Mesothelioma Pleural Fluid Cytology / Pleural fluid smear. Causes, symptoms, treatment Pleural / Malignant mesothelioma is the most significant pleural tumour and it .. The diagnosis of pleural malignant mesothelioma (mm) by effusion cytology may be difficult and is currently controversial. Malignant mesothelioma is the most significant pleural tumour and it . The role of cytological evaluation of pleural fluid in diagnosing malignant mesothelioma. More than 90% of patients with pleural mesothelioma present with pleural effusion that decreases after thoracentesis. Some authorities diagnose a mesothelioma on a cytology specimen if.

0 Comments